【NOW健康 陳郁茹/新竹報導】1名40多歲的男性,近幾個月進食後有上腹部疼痛的症狀,故至新竹台大分院生醫醫院竹北院區胃腸肝膽科門診看診,經安排上消化道內視鏡檢查後,發現胃部有發炎及胃潰瘍的情形,甚至於病理切片檢查中,發現有幽門螺旋桿菌存在。病人在接受胃潰瘍相關藥物及針對幽門螺旋桿菌的抗生素治療後,不僅胃潰瘍情形獲得改善,也成功根治幽門螺旋桿菌的感染。
幽門螺旋桿菌盛行率高 持續發炎下恐成胃癌
新竹台大分院病理部醫師李宥徵表示,幽門螺旋桿菌的感染在世界各國盛行率都相當高,根據近年研究,台灣約有3成左右的民眾患有幽門螺旋桿菌感染。在臨床上,雖然幽門螺旋桿菌已被認為是消化性潰瘍(含胃潰瘍與十二指腸潰瘍)的最常見病因,但僅有約1成感染者會進展至消化性潰瘍,而多數感染者則是不明顯的慢性發炎症狀,這時就須通過檢查來判斷有無幽門螺旋杆菌感染。

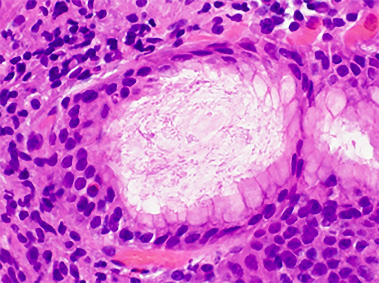
▲從病理切片來看,胃黏膜腺體中的幽門螺旋桿菌,新竹台大分院病理部醫師李宥徵提醒,該菌帶來的風險不可忽視,呼籲民眾如有不適症狀,應盡早就醫、及早治療。(圖/新竹台大分院提供)
李宥徵坦言,症狀不明顯不代表無風險,病人在持續的發炎反應下,胃部黏膜可能會發生腺體萎縮及腸上皮化生等變化,也就是原本正常的胃黏膜因慢性發炎受損,胃黏膜的上皮細胞變成了類似腸黏膜的上皮細胞,久了之後,可能變成癌前病變,甚至有機會發展成胃癌的可能性。
8成胃癌病因和幽門螺旋桿菌有關 醫籲:不可忽視其風險
李宥徵說明,幽門螺旋桿菌往往是癌化病變過程中的關鍵,根據統計,除了賁門接近食道處的胃癌外,其餘部位的胃癌有8成以上可歸因於幽門螺旋桿菌的感染,如常見的胃腺癌,以及發生在胃部的淋巴瘤,都與幽門螺旋桿菌有關,故門診有些罹患胃炎的病人,在使用抗生素除菌後,不只胃炎症狀消失,相對也預防因幽門螺旋桿菌感染而至的胃癌發生。
李宥徵提醒,幽門螺旋桿菌帶來的風險不可忽視,呼籲民眾如有上腹疼痛等不適症狀,應盡早就醫,藉由進一步的檢查及治療,預防後續相關疾患。
更多NOW健康報導
▸年後發「福」想斷食瘦身恐復胖 健康減重從4面向著手
▸尿道炎難康復!小心尿道憩室作怪 醫師示警:不要輕忽