【NOW健康 陳郁茹/台南報導】民眾在健檢照胃鏡時可能會發現胃息肉,若檢測屬於「增生性胃息肉」或「腺瘤性胃息肉」時,千萬別因無明顯症狀而置之不理!安南醫院消化內科、醫療副院長許秉毅表示,臨床上9成的患者是基底腺胃息肉,只要小於1公分可以不必切除,比較需要注意的是,增生性胃息肉(大於1公分)以及腺瘤性胃息肉,其癌化風險較高,需要及早切除處理。
男子胃長1.3公分寬大息肉 醫採新式微創手術順利切除
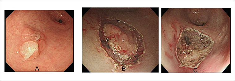
1名46歲男子因上腹脹痛、體重減輕而求診,經胃鏡檢查發現除了胃發炎外,還有個1.3公分大的胃息肉,且切片顯示為「增生性息肉」。許秉毅指出,考慮到病情未來有演變成胃癌的風險,因此建議患者切除息肉,但由於男子的胃息肉底部相當「寬大」,直接電燒切除恐有燒破胃的風險,為避免手術產生併發症,改採用新穎的「橡皮筋輔助黏膜切除術」治療。

▲橡皮筋輔助黏膜切除術執行過程。(圖/安南醫院提供)
許秉毅說明,橡皮筋輔助黏膜切除術是透過內視鏡微創技術,利用「橡皮筋」結紮於息肉的底部,將「寬大息肉」迅速整形成「圓球狀息肉」,這樣圈套型電燒刀便可輕易套住息肉底部,進行完整之息肉切割,並避免胃被燒破。
除此案例以外,許秉毅分享,1名70歲老先生在例行健康檢查時,發現胃裡有1.5公分大的胃息肉,切片檢查顯示為「腺瘤性息肉」,具有高度轉變胃癌的風險,後續採用「內視鏡黏膜下剝離術」進行息肉切除。術後經病理檢查確認,息肉中1小處已產生胃癌病變,所幸已完整切除,避免息肉再惡化、擴散。

▲醫師採用內視鏡黏膜下剝離術切除胃息肉。(圖/安南醫院提供)
胃息肉分為3類型 癌化風險者別拖延治療
許秉毅表示,胃息肉是臨床上很常見的疾病,一般分為3種,處理原則如下:
1.基底腺胃息肉:最常見的胃息肉,約占胃息肉的9成,一般小於1公分,且變成胃癌的風險很低,可不切除。但如果息肉大於 1公分或表面有糜爛、紅腫、凹陷等,還是有癌化的風險,則建議切除。
2.增生性胃息肉:第2常見的胃息肉,占胃息肉的5至10%,屬於良性息肉。如果大於1公分,演變為胃癌的風險會明顯增加,原則上建議切除
3.腺瘤性胃息肉:演變成胃癌的風險達50%,不論大小都應即刻切除。
許秉毅提醒民眾,當檢查發現胃裡有息肉時,當務之急為確認其類別,腺瘤性胃息肉及增生性胃息肉癌化風險較高,應與醫師討論合宜的處理方式,盡早將息肉去除。
# 首圖來源/Freepik
更多NOW健康報導
▸秋冬皮膚拉警報!乾癢濕疹反覆發作 中醫教你正確保養
▸你每天喝咖啡?咖啡好處大公開 不只提神還能減重抗老