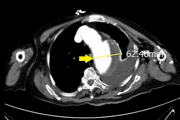
【NOW健康 楊芷晴/新北報導】高齡91歲陳女士平常有高血壓病史,但因季節交替氣溫變化大,血壓變得不穩定,日前因為胸痛、呼吸喘被送往急診。台北慈濟醫院心臟血管外科宋鎮宇醫師透過胸部X光檢查發現,陳女士的縱膈腔擴大且左側肋膜有大量積液,進一步電腦斷層追蹤發現是直徑約6公分大的胸主動脈瘤破裂合併血胸,當下緊急接受主動脈支架置放手術,術後一周平安出院,並經由藥物穩定控制血壓,目前已恢復正常生活。

▲電腦斷層追蹤發現是直徑約6公分大的胸主動脈瘤破裂合併血胸。(圖/台北慈濟醫院提供)
主動脈瘤初期多半沒有徵兆 高血壓恐增加主動脈壁壓力
主動脈連結於心臟,負責將心臟輸出的血液供應至全身器官,是人體最大的動脈血管。所謂的主動脈瘤指的並非腫瘤,而是指主動脈有不正常膨大的現象,通常發生在胸部或腹部。正常而言,主動脈直徑約3公分,若膨大直徑超過1.5倍就是「主動脈瘤」。
宋鎮宇表示,主動脈瘤在發生初期多半不會有徵兆,且主動脈位於體腔深部,難以經由觸診發現,通常都是經由胸部X光、健檢腹部超音波,或者心臟超音波意外發現的。因此若是膨大到一定程度而有破裂出血情況通常都是萬分緊急,可能合併嚴重胸腹痛及休克,所以又被稱之為「隱形的體內不定時炸彈」。
尤其高血壓更是主要危險因子,會增加主動脈壁壓力,導致主動脈瘤增大,而有破裂風險。宋鎮宇指出:「主動脈瘤就像吹氣球一樣,被吹開之後就無法恢復。據統計,主動脈瘤的發生率為每十萬人口中有7人,其中將近8成為65歲以上的長者,且男性發生機會高於女性。若經發現,務必要接受治療,否則一旦破裂或剝離,死亡率達9成以上。」

▲利用穿刺導引支架至動脈瘤位置,將主動脈支架展開,達到避免動脈瘤破裂之風險。(圖/台北慈濟醫院提供)
多數胸及腹主動脈瘤評估適合 可考慮置放主動脈支架
宋鎮宇解釋,以現今治療方式來說,大多數的胸主動脈瘤及腹主動脈瘤,解剖構造評估適合便可考慮主動脈支架手術。醫師將從鼠蹊部劃一個3至5公分小切口,利用穿刺股動脈導引支架至動脈瘤位置,再將包覆支架的人工血管展開,讓血液順利通過,達到避免動脈瘤持續擴大破裂之風險,成功率達9成,且對於年紀較大或是本身有心肺疾病的患者,可以大幅減少手術風險及術後併發症。
宋鎮宇補充說明,若診斷是升主動脈瘤或複雜性主動脈弓瘤的病人,考量動脈瘤可能涉及心臟冠狀動脈及腦部頸動脈,手術選擇還是會以傳統人工血管手術縫合方式為主。
主動脈瘤在初期難以被發現,宋鎮宇提醒,民眾應養成良好的生活習慣,天氣溫差大時應注意保暖,平日則須定時量血壓且定期健康檢查,讓疾病提早被發現,用適切的治療維護美好人生。
# 首圖來源/台北慈濟醫院提供
更多NOW健康報導
▸保健食品開封後乾燥劑、棉花該留還是丟? 藥師來解答
▸經常後腳跟痛? 復健科醫師教你7招緩解足底筋膜疼痛