2寶媽患子宮肌腺症經痛難耐 手術治療後圓夫妻環島夢

5529
林郁敏 報導
2寶媽患子宮肌腺症經痛難耐 手術治療後圓夫妻環島夢

【NOW健康 林郁敏/台中報導】42歲蔡姓婦女3年前生完2胎後,發現月經量變多、合併大量血塊和嚴重經痛,但她並沒有太在意,直到體檢報告顯示患有中度貧血,連婦科腫瘤指數都偏高,就醫檢查確認罹患「子宮肌腺症」,所幸透過達文西機器手臂手術切除子宮,並保留卵巢、子宮頸等重要部位,術後她與丈夫一圓環島夢,笑說要繼續挑戰極限。


藥物治療副作用多 達文西手術順利解決子宮肌腺症


亞洲大學附屬醫院婦產部微創內視科主任高惠芬表示,患者初到門診就醫時自述,得知病情是嚴重型子宮肌腺症後,因考量生活和工作無法接受手術,也擔心前兩胎剖腹產手術可能會有嚴重沾黏增加手術困難度,因此決定先嘗試賀爾蒙藥物治療,初期雖改善月經量多及經痛問題,但隨之而來的藥物副作用如皮膚痘痘增多、水腫、體重增加,讓她更加困擾,在先生支持和陪伴下,決定來院尋求手術諮詢。


經討論和評估後,為了能盡快恢復日常生活和工作,雙方討論後,決定選擇達文西機器手臂輔助手術,安排次全子宮切除手術,但過程中保留卵巢和子宮頸,避免提早停經、減少對骨盆韌帶的破壞,也不會縮短陰道的長度,並藉由機器手臂3D手術視野和精細手術技術,順利處理子宮沾黏問題。


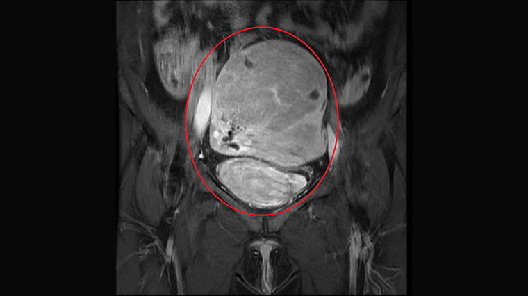
▲子宮肌腺症病灶檢查影像圖片。(圖/亞洲大學附屬醫院提供)


患者手術後順利康復,住院3天即可出院,如期在術後2週陪伴先生完成自行車環島的夢想,讓她開心地說:「未來還有很多目標要去挑戰!」


個別規劃子宮肌腺症療程 藥物與手術擇優治療方案


高惠芬指出,「子宮肌腺症」是指子宮內膜細胞浸潤到子宮肌肉層形成急性及慢性發炎反應,發生率約在20%至35%,往往會讓女性朋友出現經痛症、月經量多或慢性骨盆疼痛等等症狀,尤其隨著年齡增長,內在、外在環境荷爾蒙刺激增加,經痛和經血量多的症狀會越來越明顯劇烈,不僅影響生活品質,也得服用過多的止痛藥,甚至造成貧血困擾。


高惠芬強調,子宮肌腺症依照年齡、生育計畫、症狀嚴重的程度,可以選擇藥物治療或手術治療,兩者各有其優缺點,醫師會依每位患者的個別性,選擇最適合的治療方案,若選擇手術治療,也可以選擇切除部份子宮肌腺症病兆,建議配合術後賀爾蒙治療以減少日後復發的機會,或是根除性子宮切除手術治療。


高惠芬也提醒,不少患者聽到手術、開刀都會十分焦慮,但其實近年來微創手術技術越來越進步,機器手臂輔助手術會提供醫師3D手術視野,搭配360度精細機器人手腕操作手術,都大幅提升手術精準度,術後傷口小、恢復快,也能減輕患者負擔,目前健保已有部分給付,建議可與醫療團隊溝通,盡快恢復健康生活步調。


院方表示,目前已經引進最新一代達文西機器手臂系統,且治療範圍日漸廣泛,健保署更持續納入健保補助範疇,目前已經通過63項手術項目,包含泌尿科、一般消化道、胸腔、婦科、心胸外科等,粗估最高可節省10萬元以上,將能提供民眾更好的醫療照顧跟選擇,並降低經濟壓力。


# 首圖來源/亞洲大學附屬醫院提供


更多NOW健康報導
▸護理人力短缺!病床關閉加劇急診壅塞 恐「全盤皆輸」
▸講座報名/迎向「腎」利人生! 落實慢性腎病預防保健

分享此文:
請往下滑,繼續閱讀推薦好文
資料讀取中....