【NOW健康 孫子敬/台北報導】近年來,牙周病逐漸年輕化,已不再是中老年人的問題,越來越多的年輕患者正面臨口腔健康的隱憂,台大牙周病暨雅偲診所鄭聖達醫師表示,牙周病又稱為「口腔內無聲的土石流」,不僅會導致牙齦萎縮,還會破壞齒槽骨,嚴重者甚至會導致牙齒鬆動和脫落,若沒有多加留意,年輕人也難以倖免,一旦發生,可透過百歐雷射搭配牙周再生手術治療,恢復牙周健康。
牙周病初期症狀常被忽視 OL牙齒痠軟晃動才就醫
1名年僅33歲的女性上班族正是典型案例,鄭聖達醫師指出,該患者在其他診所診斷出牙周病後,轉診前來治療,個案並無吸菸、糖尿病或服用特殊藥物等風險因素,經檢查發現,她的幾顆牙齒齒槽骨遭到牙周病破壞得特別嚴重,感到牙齒痠軟、晃動。
由於牙周病初期,病患通常沒有明顯的疼痛感,即使發現自己有刷牙流血、牙齦腫痛等初期牙齦炎症狀,也常選擇性忽視,因而慢慢演變成中重牙周病,進而出現牙齒鬆動的窘境。

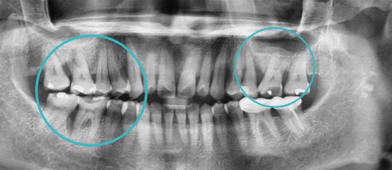
▲經檢查發現該女性上班族幾顆牙齒齒槽骨遭到牙周病破壞得特別嚴重。(圖/鄭聖達醫師提供)
牙周病治療分階段進行 先移除感染源再評估手術與追蹤控制
鄭聖達醫師在為該名患者進一步規劃治療計劃時,由於病患相當懼怕牙科的器具和治療,在考量到傳統的牙周病治療方法採用刮刀清除牙菌斑和結石,牙周囊袋最深處的清創容易分生術後不適感,因此患者諮詢有無其他微創的方式來治療牙疾。
對於想有更微創的方式,鄭聖達醫師建議可以使用顯微治療搭配百歐雷射,此技術能能利用微創探頭,微創並清除牙周囊袋內的細菌,促進傷口癒合,並減少術後的不適感,同時能大幅縮短牙周治療療程。特殊的雷射探頭材質是彈性的鋯探頭,與牙周檢查的探針大小相仿,特殊的設計可以深入到囊袋底部做滅菌與牙周治療。
鄭聖達醫師進一步說明,原先針對該病患使用牙周探針在每顆牙齒裡外6個面進行深度測量,已遭到破壞的數顆牙齒深度高達10mm之多,比正常範圍還再嚴重破壞5mm深度。
牙周病的治療採分階段進行,在第1階段的顯微雷射輔助治療,主要目的在移除感染源、停止繼續破壞。首先使用手動器械清除掉附著在牙根表面的結石,再搭配使用雷射進入牙周囊袋殺菌,會有加快癒合速度,此時,病患須定期回診確認口腔是否有正確清潔,檢查時會在病患的牙齒上塗上牙菌斑顯示劑,查看病患的口腔清潔是否確實。
上述個案在經過第1階段治療後,深度破壞的5mm囊袋已恢復許多,僅剩零星的區域較深;而到了第2階段則採用牙周再生手術,針對囊袋數值偏大的左上、右上及右下等區域手術治療,因為流失破壞的骨頭不會自行生長出來,此時必須依靠牙周再生手術,將再生因子與骨粉填補於流失的區域,改善咀嚼無力、牙齒敏感等問題。

▲透過牙周再生手術後,後續回診追蹤也都呈顯穩定的恢復。(圖/NOW健康製作;圖片來源/鄭聖達醫師提供)
牙周病治療後仍需正確清潔牙周 避免再次復發
該名病患經過基礎治療,以及微創牙周補骨再生手術的牙周手術。由於患者本身配合良好,做好口腔清潔,定期回診追蹤,後續回診追蹤也都呈顯穩定的恢復。
鄭聖達醫師提醒,牙周病是慢性隱性且不易察覺的疾病,如果你有以下幾種症狀,如:牙肉紅腫出血、流膿、牙齦萎縮、牙根裸露、並有牙齒敏感的症狀、或者牙縫變大合併口臭與牙齒鬆動、咀嚼無力等,建議預約你的家庭牙醫先做檢查。牙周病在只要得到合適的治療,治療後仍然需要確實做好清潔口腔,定期檢查口腔健康,事實上,這也正是預防牙周病的最佳策略。若不幸罹患牙周病,只要及時治療,並配合專業醫師的建議指導,嚴重牙周病患者仍然有機會得到有效的控制,並能重拾口腔的健康。
# 首圖來源/鄭聖達醫師提供
更多NOW健康報導
▸白內障人工水晶體問世75周年 國際眼科盛事再展台灣醫學「強」實力
▸怕老了大腦退化? 研究:多吃1食物認知障礙風險較低