【NOW健康 吳思奕/新北報導】日前一名11歲的許小弟因持續高燒4天且合併有咳嗽症狀而前往地方診所看診,但病情卻持續不見好轉,其後更出現胸悶、活力及食慾下降等情況,遂轉往台北慈濟醫院急診就醫。經一系列檢查後診斷為肺炎黴漿菌感染,情況危急,所幸在緊急住院治療1週後平安出院。
飛沫為主要傳染途徑 高峰期為夏、秋兩季
肺炎黴漿菌是社區性肺炎常見的致病菌之一,因為常侵犯肺部導致「肺炎黴漿菌肺炎」,所以又簡稱「黴漿菌肺炎」。其傳染方式主要為飛沫傳播,潛伏期通常約2~3週,高峰流行期約落在夏、秋兩季,但由於台灣四季並不分明,一年四季皆有感染可能,後疫情時代黴漿菌肺炎病例有增加的趨勢,可能與免疫負債有關。
台北慈濟醫院小兒感染科醫師吳秉昇說,個案許小弟在就診時,院方便透過抽血及胸部X光檢查發現其體內的C反應蛋白(一種發炎指數)偏高且右下肺葉有感染情形,聽診也發現有囉音及喘鳴,診斷為社區性肺炎。另外因其黴漿菌急性抗體呈現陽性,懷疑為肺炎黴漿菌感染,考量情況較為嚴重,便收治住院觀察。
不料病情瞬息萬變,在經抗生素治療後,許小弟仍然高燒未退甚至出現肺炎擴散及肋膜積水的情形,後來透過黴漿菌抗生素的調整,當晚許小弟即逐漸退燒,且在1週後平安出院,後續胸部X光追蹤亦發現右下肺炎及肋膜積水已改善。

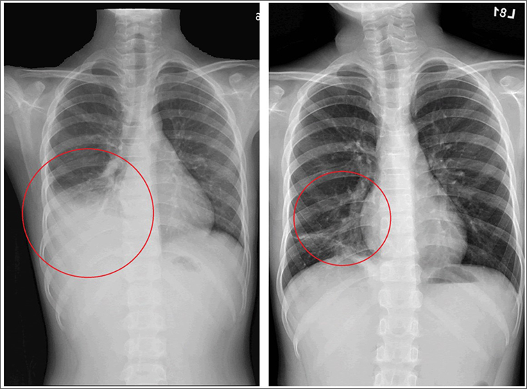
▲許小弟在一開始接受抗生素治療後仍然高燒未退,甚至出現肺炎擴散及肋膜積水的情形(左);先後使用口服四環黴素及喹諾酮類藥物進行治療後,肺部積水才明顯減少(右)。(圖/台北慈濟醫院提供)
好發於5歲以上幼童及青少年 長期咳嗽、發燒為初期症狀
吳秉昇指出,黴漿菌肺炎通常好發於5歲以上的幼童及青少年,初期以長期咳嗽、喉嚨痛、發燒等症狀表現,之後會慢慢出現胸痛及呼吸喘。由於症狀與一般肺炎病菌、流感及新冠病毒感染相似,不容易辨別,需要藉由聽診、抗體篩檢或核酸檢測確認,並配合胸部影像學檢查才能發現。
由於多數患者症狀較為輕微,不影響生活日常,因此又被稱作「會走路的肺炎」。但若是因症狀不嚴重而輕忽不就醫,除了可能造成肺部感染及氣喘惡化外,更有機會引發免疫反應,出現肺外症狀,如:蕁麻疹、多型性紅斑、口腔及眼結膜潰瘍,甚至併發腦炎,千萬不可掉以輕心。
抗生素藥物切忌自行更改劑量與時間 以免影響藥效
在治療上,黴漿菌肺炎以抗生素為主,過往多半使用紅黴素,但衛福部疾管署《感染控制雜誌》研究曾指出,台灣兒童感染的黴漿菌已對紅黴素產生6成以上的抗藥性,必要時須改以其他抗生素,如:四環黴素或喹諾酮類抗生素治療。
以個案許小弟為例,在醫療團隊評估其症狀較為嚴重,且之前曾使用紅黴素治療,可能有紅黴素抗藥的情形,因此先後使用口服四環黴素及喹諾酮類藥物,發燒才逐漸改善,且在4天後肺部積水也明顯減少,病況穩定。吳秉昇提醒,醫師開立抗生素藥物會考量患者的年齡與臨床症狀嚴重度,並參考醫療指引進行治療,家長應遵從醫囑,按處方開立的劑量與時間讓孩童服用,且勿自行更改劑量與用藥時間。
在後疫情時代,民眾配戴口罩的比例有所下降,而黴漿菌肺炎在校園及家庭的傳播力卻不可小覷,加上目前尚無黴漿菌疫苗可接種,戴口罩、勤洗手仍是最直接的預防方法。倘若家長發現孩童出現咳嗽、咳痰、呼吸喘、持續高燒不退、食慾活力下降等症狀時,就應及時就醫,避免拖延導致病情惡化。
# 首圖來源/Freepik
更多NOW健康報導
▸保健食品開封後乾燥劑、棉花該留還是丟? 藥師來解答
▸經常後腳跟痛? 復健科醫師教你7招緩解足底筋膜疼痛