【NOW健康 吳思奕/新北報導】1名60歲的吳女士因為停經後仍有不定期出血的情形,因此一直持續在台北慈濟醫院進行追蹤檢查。日前在某次回診中,透過超音波檢查發現子宮內膜厚度異常增生,遂決定接受子宮內膜搔刮術進行採樣。經手個案的台北慈濟醫院婦產部醫師邵芷萱說,在手術中發現了吳女士的子宮中有一塊肉瘤,若不及時處理,很有可能會病變為子宮內膜癌。因此在與吳女士討論後,決定以摘除子宮的方式根除病灶。術後吳女士不再受異常出血困擾,生活品質大幅提升。

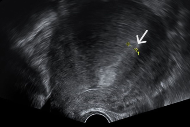
▲透過超音波檢查,發現子宮內膜增生異常的情形。(圖/台北慈濟醫院提供)
子宮內膜癌好發族群 除了50歲前後停經女性還有這些
根據衛福部國健署最新資料顯示,女性癌症-子宮體癌發生人數擠下胰臟癌,成為國人前10大癌症排行中第10名。而子宮體癌又細分為惡性子宮肉瘤及子宮內膜癌,其中子宮內膜癌占9成以上。邵芷萱解釋,子宮壁的外層到內層是由漿膜層、平滑肌肉層及內膜層3層組織構成,當子宮最內層的內膜層長出惡性腫瘤,即為子宮內膜癌,好發於50歲前後停經的女性,以及肥胖、糖尿病、多囊性卵巢症候群者。
子宮內膜癌的主要症狀為不正常出血,但有些患者可能無明顯症狀,難以發現。而其病因目前醫學上並無確切說法,但是若內膜層接受到過多雌激素荷爾蒙刺激,就會大幅增加病變機率。近年更有年輕化的趨勢,部分原因與飲食西化、環境荷爾蒙有關。此外,邵芷萱提醒,女性愛用的營養品,如:膠原蛋白、胎盤素等,部分可能因含有雌激素或是會刺激雌激素的成分,食用後易導致荷爾蒙過剩,進而造成內膜病變,甚至增加罹癌風險。因此,在補充營養品的同時,更需審慎留意其成份來源。
缺乏普及篩檢診斷較為困難 仰賴子宮內膜採樣化驗
由於目前缺乏類似子宮頸抹片的普及篩檢方法,子宮內膜癌的診斷也較為困難,需仰賴子宮內膜抽吸術或是子宮內膜搔刮術進行子宮內膜的採樣,並將檢體送至病理化驗,才能進行下一步的評估。子宮內膜抽吸術是可以於門診進行且相對簡單的方式,在不用麻醉的情形下,醫師會將一支細管從受檢者的陰道進入,並經由子宮頸進入子宮內,抽取少量子宮內膜組織。
而內膜搔刮術則須於手術室進行,在受檢者全身麻醉或是局部麻醉的狀態下,醫師會使用器具將子宮頸擴張至適當寬度,再將刮匙伸入子宮內刮取內膜組織,相較之下採集的範圍會較全面。臨床上會依據內膜增生情況、病灶嚴重程度及病人臨床狀況(如:體力)等決定採樣方式。若經過病理檢驗確定為內膜癌,治療則主要會以手術為主,輔以放射治療、化療及標靶治療等方式移除病灶。該病早期5年存活率可高達90%,晚期則大幅減半至30%以下,因此及早發現、及早治療便顯得相當重要。
醫師建議更年期女性 每年至少進行1次超音波檢查
邵芷萱醫師提醒,民眾平時應養成健康的生活方式,維持適當體重,避免肥胖,並採取健康飲食,多攝取天然食材和原型食物,減少高油、高鹽及人工添加劑的攝入。而規律運動同樣有助於控制體重和維持荷爾蒙平衡,建議更年期女性每年至少進行1次超音波檢查,並對任何月經異常或停經後出血的症狀保持警覺。通過定期檢查、保持健康生活方式以及察覺身體的變化,可以降低內膜癌的發生率,提升預後。
# 首圖來源/Freepik
更多NOW健康報導
▸無菸酒檳榔史也得口腔癌?非典型患者增 中醫辯證論治
▸經常後腳跟痛? 復健科醫師教你7招緩解足底筋膜疼痛